Introduction
The ankle is an intricate structure that allows us to stand, walk, and move. Understanding the anatomy of the ankle is crucial in the diagnosis or management of any ankle conditions. Without knowledge of how the ankle joint is made up, it will be impossible for any medical professional to identify which structure is injured or inflamed. Therefore in this article, we will unravel the basic facts about the structures that make up the ankle joint.
Anatomy of the Ankle: The Structure
Your ankle joint is a marvel of engineering, comprising several essential components that work together to support your movements. Here’s a breakdown of what makes up your ankles:
Bones
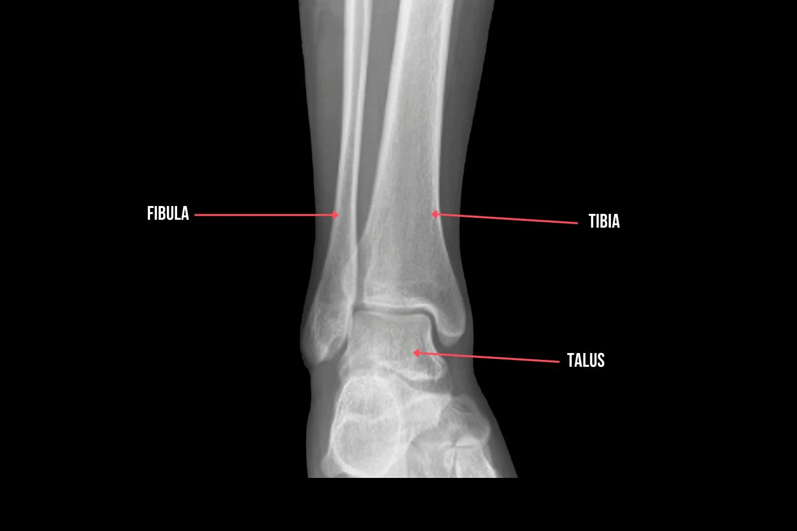
Imagine your ankle as a bridge between your leg and foot. The main bones involved are the tibia (shinbone), fibula (calf bone), and talus (ankle bone). Together, they form a sturdy structure that allows you to walk, run, and jump with ease. They are the foundation of the anatomy of the ankle.
Ligaments
Picture tiny ropes holding your ankle joint together. These are ligaments, and they play a crucial role in keeping your ankle stable. They prevent your ankle from rolling too far inward or outward, reducing the risk of sprains.
The 5 important ligaments on the medial (inner) side, known as the deltoid ligaments of the ankles are:
- Tibiocalcaneal ligament – connecting the tibia bone to the heelbone
- Talonavicular ligament – connecting the talus bone to the navicular bone
- Anterior tibiotalar – connecting the tibia bone to the talus bone at the front of the ankle
- Superficial and deep posterior tibiotalar – both connecting the tibia bone to the talus bone at the back of the ankle
There are 3 main ligament on the lateral (outer) side of the ankles:
- Anterior talofibular ligament – connecting the fibula bone to the talus bone at the front of the ankle
- Posterior talofibular ligament – connecting the fibula bone to the talus bone at the back of the ankle
- Calcaneofibular ligament – connecting the fibula bone to the heel bone
Tendons
Tendons are like strong rubber bands connecting muscles to bones. The Achilles tendon is the largest in the entire anatomy of the ankle and connects the calf muscles to the heel bone. It helps you push off the ground when you walk or run. The other important tendons that are found around the ankle are:
- Tibialis anterior tendon
- Tibialis posterior tendon
- Extensor Hallucis longus tendon
- Extensor digitorium longus tendon
- Peroneus longus tendon
- Peroneus brevis tendon
- Flexor hallucis longus tendon
- Flexor digitorium longus tendon
Muscles
Your ankle is powered by a network of muscles that work together to move your foot up and down. The calf muscles, including the gastrocnemius and soleus, help you point your toes downward (plantarflexion), while muscles on the front of your leg, like the tibialis anterior, help you lift your toes up (dorsiflexion). Each of the above tendons is connected to their respective muscles, and together, they work hand in hand to control the movements of your foot and ankle.
Need Help? See A Podiatrist Today
Why Anatomy of the Ankle Matters
Understanding the basics of ankle anatomy is essential for everyone, not just athletes or healthcare professionals. By knowing how your ankles are structured and how they function, you can:
- Take better care of your ankles by avoiding activities that could strain them.
- Recognise the signs of injuries, such as ankle sprains or fractures, and seek ankle injury treatment promptly.
- Recognise early signs of tendon injuries based on the location of pain, such as posterior tibial tendonitis, Achilles tendonitis, or peroneal tendonitis
- Support your ankle health through exercises and stretches that strengthen the surrounding muscles.
Conclusion
As you’ve learned, your ankles are remarkable structures that enable you to move with grace and ease. By gaining insight into the ankle anatomy and function, you can appreciate the importance of caring for them properly. Whether you’re walking, dancing, or simply standing, your ankles are hard at work, supporting you every step of the way. So take a moment to thank your ankles for all they do, and remember to treat them with the kindness and care they deserve.
Jackie Tey
Chief Podiatrist, B.Pod(Hons). Your foot and lower limb specialist passionate about raising awareness for foot and lower limb health.