Conditions
Customised Foot Orthoses (Insoles)
Customised Sport Orthoses (Insoles)
Ankle-Foot Orthosis
Paediatric Supramalleolar Orthoses
Extracorporeal Shockwave Therapy (Focused)
Radial Pressure Wave Therapy
Magnetotransduction Therapy (EMTT)
Partial Nail Avulsion
Wart Needling & Curettage
PACT Antifungal Therapy
Diabetic Foot Screening
Wound Debridement
Feet
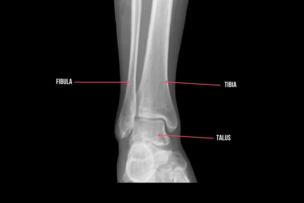
Ankle
Leg
Knee
Paediatric Conditions
Rheumatology
Skin & Nails
Diabetic Foot