Why Do I Have Heel Pain?

patient with heel pain finding the best podiatrist in Singapore

Heel pain is, by far, the most common foot pain problem that we see in the clinic daily. Many of our patients would tell us that they tried several home remedies, but they did not help. The reason is that you need to know what is causing your heel pain to know the best way to resolve it. There are several reasons why your heel is painful. Here are some possible causes:

Plantar fasciitis

Plantar fasciitis is one of the most common causes of heel pain. It occurs when the band of tissue that runs from your heel to your toes becomes inflamed. Plantar fasciitis is often caused by flat feethigh arch feet, long standing hours, or poor footwear. The classic symptom of plantar fasciitis is a sharp stabbing pain that is worse in the morning or after periods of rest.

Achilles tendinitis

Achilles tendinitis is another common cause of heel pain, which occurs when the Achilles tendon becomes inflamed. The Achilles tendon runs from the back of the leg (calf muscle) down to the heel bone. Achilles tendinitis is often caused by excessive high-impact sports such as running or jumping. It can cause dull or sharp pain in the back of the heel and is often worse after exercise.

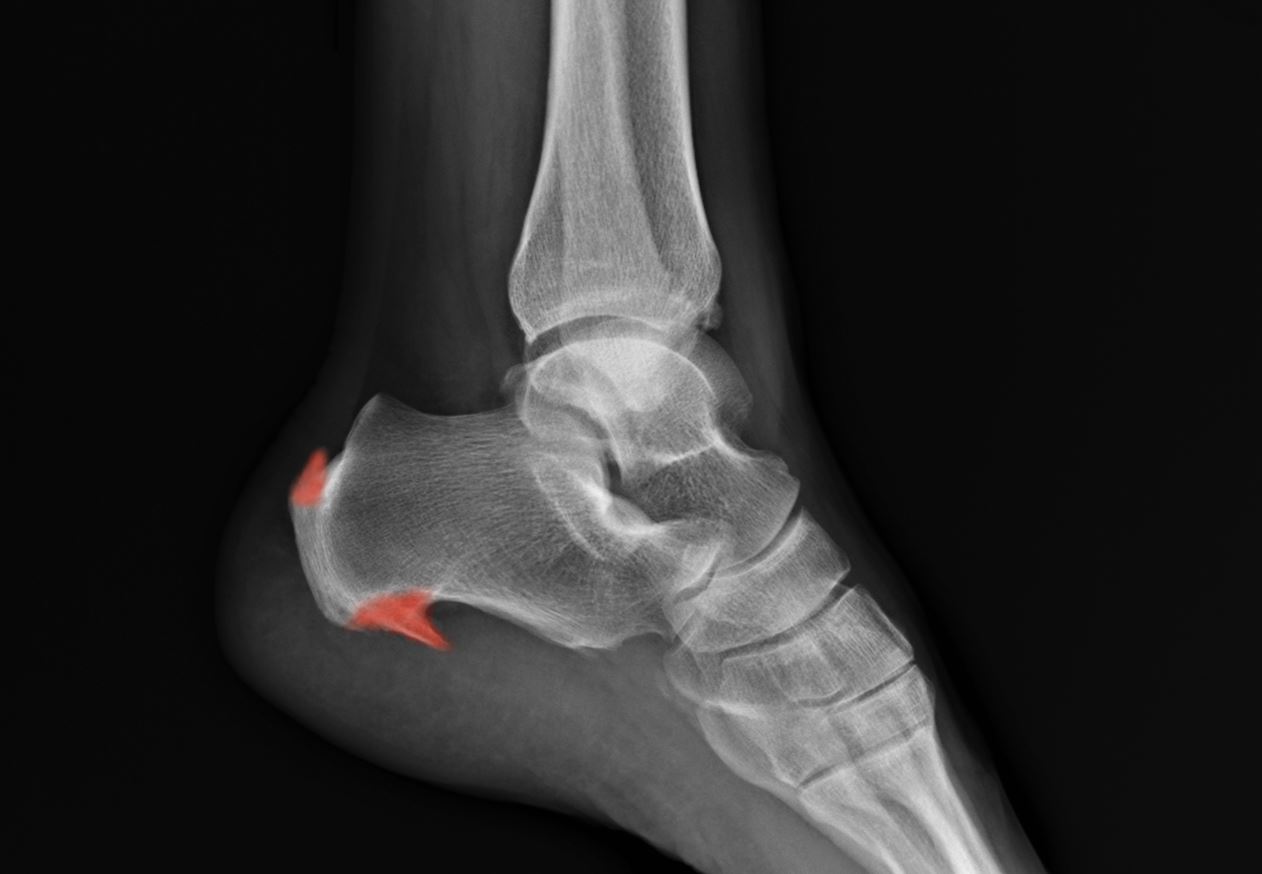
Heel spurs

Heel spurs are bony growths that form on the bottom or the back of the heel bone. They often occur as a result of long-term plantar fasciitis or Achilles tendinitis. Heel spurs are our body’s natural response to tendon stress, and they are usually not the main cause of your heel pain. The symptoms of heel spurs are largely similar to plantar fasciitis or Achilles tendinitis, depending on where the spurs are at.

Heel spurs are normally found at the back or the bottom of the heel bone.

Stress fractures

Stress fractures are tiny cracks in the bone that can occur as a result of overuse or repetitive stress. Individuals that often get heel stress fractures are long-distance runners or jumping sports. They can cause sharp pain in the heel that is worse during exercise. Stress fractures can also occur and cause foot pain in other parts of the foot.

Retrocalcaneal Bursitis

Retrocalcaneal bursitis is the inflammation of the bursa, a small fluid-filled sac that cushions and reduce the friction between the Achilles tendon and the heel bone. Retrocalcaneal bursitis typically affects athletes such as football or basketball. It can cause heel pain that is worse with movements such as running uphill or sprinting.

Need Help?
See A Podiatrist Today

Getting the right diagnosis is the key to recovery

There are other less common causes of heel pain, such as nerve entrapment or systemic diseases like rheumatoid arthritis. So, as you can see, there are many conditions that cause heel pain in Singapore. The solution for heel pain only works if the diagnosis is correct. If you have been suffering from heel pain for some time, it’s best to consult with a podiatrist for appropriate assessment and management. Our podiatrists at Straits Podiatry are experienced in managing various conditions and we often see many cases of common foot and ankle pain. Hence, if you need help finding the best podiatrist in Singapore, call us today and let us assist you!

If you enjoy reading this article, please feel free to share the knowledge with your friends. We will regularly create more content related to lower limb health, so follow us on our Facebook page or Instagram to stay updated!

Share this with someone you know

Search

You May Also Like

Do You Have A Question? Ask Us...

Search

Do You Have A Question? Ask Us...

You May Also like